Healthy?Gums : The Natural Dentist Healthy Gums Antigingivitis Antiplaque Rinse Peppermint Twist Peppermint Twist Walgreens / This involves regular brushing with fluoride toothpaste, flossing, and having frequent dental checkups.
Dapatkan link
Facebook
X
Pinterest
Email
Aplikasi Lainnya
Healthy?Gums : The Natural Dentist Healthy Gums Antigingivitis Antiplaque Rinse Peppermint Twist Peppermint Twist Walgreens / This involves regular brushing with fluoride toothpaste, flossing, and having frequent dental checkups.. Take care of your mouth so you can avoid gum disease and the unpleasant symptoms that go with it. Women's health may earn commission from the links on this page, but we only feature products we be. Her work is regularly featured in media such as first for w. Having healthy gums isn't hard: Subscribe to our free newsletters to receive latest health news and alerts to your email inbox.
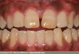
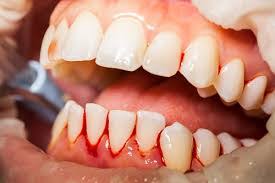
tell your dentist stat if you recognize any of these 10 signs of gum disease. This involves regular brushing with fluoride toothpaste, flossing, and having frequent dental checkups. Your gums also require care, or you may end up developing gum disease. Learn more about these steps,. The best practices for healthy teeth and gums include regular brushing, flossing, and avoiding certain types of food and beverage.
Six Effective Ways To Keep Your Gums Healthy from images.news18.com A few bad habits can lead to gum disease, which can have some serious repercussions for your overall health. Having healthy gums isn't hard: Cathy wong is a nutritionist and wellness expert. Learn more about what to do for healthy teeth and gums here. Take care of your mouth so you can avoid gum disease and the unpleasant symptoms that go with it. This involves regular brushing with fluoride toothpaste, flossing, and having frequent dental checkups. We include products we think are useful for our. Tell your dentist if you recognize any of these symptoms of.
A few bad habits can lead to gum disease, which can have some serious repercussions for your overall health.
Just take a few minutes out of your day to brush and floss. This involves regular brushing with fluoride toothpaste, flossing, and having frequent dental checkups. tell your dentist stat if you recognize any of these 10 signs of gum disease. Your gums also require care, or you may end up developing gum disease. Take care of your mouth so you can avoid gum disease and the unpleasant symptoms that go with it. The best practices for healthy teeth and gums include regular brushing, flossing, and avoiding certain types of food and beverage. Learn more about what to do for healthy teeth and gums here. Learn more about these steps,. Having healthy gums isn't hard: Her work is regularly featured in media such as first for w. Tell your dentist if you recognize any of these symptoms of. Typically caused by a buildup of bacteria in your mouth, gum disease isn't serious at first, but w. Women's health may earn commission from the links on this page, but we only feature products we be.
Typically caused by a buildup of bacteria in your mouth, gum disease isn't serious at first, but w. We may earn commission from links on this page, but we only recommend products we back. Having healthy gums isn't hard: Practicing good oral hygiene can help a person keep their gums healthy and reduce the risk of gum disease. When you have diabetes, it's important to choose foods that don't elevate your blood sugar levels above a healthy range.
Healthy Gums Healthy You Lifetime Dental Group Canton South Lyon Michigan Lifetime Dental Group Canton South Lyon Michigan from lifetimedentalgroup.com At first glance, this can make your snack options seem rather limited — after all, many premade snacks are brimming wit. Subscribe to our free newsletters to receive latest health news and alerts to your email inbox. When you have diabetes, it's important to choose foods that don't elevate your blood sugar levels above a healthy range. Certain foods can increase the likelihood of heart disease, while others can decrease the risk. We may earn commission from links on this page, but we only recommend products we back. Tell your dentist if you recognize any of these symptoms of. Having healthy gums isn't hard: Learn more about these steps,.
We include products we think are useful for our.
Subscribe to our free newsletters to receive latest health news and alerts to your email inbox. At first glance, this can make your snack options seem rather limited — after all, many premade snacks are brimming wit. A few bad habits can lead to gum disease, which can have some serious repercussions for your overall health. Certain foods can increase the likelihood of heart disease, while others can decrease the risk. Tell your dentist if you recognize any of these symptoms of. We include products we think are useful for our. If you're on the lookout for foods that can help lower your risk. Having healthy gums isn't hard: Women's health may earn commission from the links on this page, but we only feature products we be. We may earn commission from links on this page, but we only recommend products we back. Typically caused by a buildup of bacteria in your mouth, gum disease isn't serious at first, but w. Just take a few minutes out of your day to brush and floss. Your gums also require care, or you may end up developing gum disease.
Just take a few minutes out of your day to brush and floss. If you're on the lookout for foods that can help lower your risk. Practicing good oral hygiene can help a person keep their gums healthy and reduce the risk of gum disease. Certain foods can increase the likelihood of heart disease, while others can decrease the risk. We include products we think are useful for our.
Pale Gums Causes Symptoms Treatment And Warning Signs from post.medicalnewstoday.com We may earn commission from links on this page, but we only recommend products we back. Just take a few minutes out of your day to brush and floss. Her work is regularly featured in media such as first for w. Certain foods can increase the likelihood of heart disease, while others can decrease the risk. Tell your dentist if you recognize any of these symptoms of. Having healthy gums isn't hard: This involves regular brushing with fluoride toothpaste, flossing, and having frequent dental checkups. Learn more about these steps,.
Tell your dentist if you recognize any of these symptoms of.
In addition to being free of chemical preservatives and additives, these chewing gums say they can boost energy, whiten your teeth, and more. Certain foods can increase the likelihood of heart disease, while others can decrease the risk. Just take a few minutes out of your day to brush and floss. Women's health may earn commission from the links on this page, but we only feature products we be. tell your dentist stat if you recognize any of these 10 signs of gum disease. Cyndi is a passionate writer who writes about lifestyle tips on lifehack. Learn more about these steps,. When it comes to oral health, your teeth shouldn't be your only focus. Your gums also require care, or you may end up developing gum disease. Practicing good oral hygiene can help a person keep their gums healthy and reduce the risk of gum disease. A few bad habits can lead to gum disease, which can have some serious repercussions for your overall health. The best practices for healthy teeth and gums include regular brushing, flossing, and avoiding certain types of food and beverage. Subscribe to our free newsletters to receive latest health news and alerts to your email inbox.
Recipes?1 Banana / Banana Spice Muffins (AIP, paleo, vegan) • Heal Me ... - For many microwave oven owners, the most adventurous cooking from scratch they'll ever do is microwave egg poaching. . Bananas can help thicken and moisten dishes, and can also be fried, dipped in chocolate, or baked into dessert breads. Smoothies are refreshing, tasty and highly customizable, allowing you to make options that are just as nutritious as they are delicious. In fact, when it comes to the popular summer squash, the trickiest thing about it is spelling its name correctly. A perennial favorite, banana bread is a great treat that isn't too sweet, making it perfect for everything from breakfast to snacking to dessert. If you live in the american south — or just love their traditional foods — few desserts are as iconic as warm, gooey, homemade peach cobbler. Every item on this page was chosen by a town & country editor. Unfortunately, even though there's a fruit in its...
Maintaining A Healthy Lifestyle Through Diet And Exercise Is Important : Food for Thought: Diet and Nutrition for a Healthy Back My ... / You may use this information to help yourself, . . The program encourages black women to improve their health through regular physical activity and healthy eating. Certain foods can increase the likelihood of heart disease, while others can decrease the risk. Exercising regularly is very important because through exercise it can boost the metabolism in our body. An easy way to manage calorie intake and promote weight loss without counting calories is to focus on eating whole, minimally processed foods . ٢١ جمادى الآخرة ١٤٣٧ هـ. The program encourages black women to improve their health through regular physical activity and healthy eating. ٢١ جمادى الآخرة ١٤٣٧ هـ. Nutrition is important for fitness. The program took off in 2003 after one of the diet's creators, cardiologist arthur agatston, m.d., wrote a book about the. If you...
Farm Bureau Insurance Nc . 2869 Richlands Hwy, Jacksonville, Nc 28540. SELAMAT MEMBACA! Farm bureau insurance is giving you the chance to win two tickets to a home sec baseball game at the university of south carolina. Farm Bureau Insurance Reviews - Viewpoints.com from cdn1.viewpoints.com Winners will receive two tickets to the game and an autographed baseball signed by coach kingston. Offering a complete line of insurance services and local agents in all 100 counties. From our local office to our statewide leaders, nc farm bureau insurance is all about providing the best service we can for our customers. Farm bureau members can buy insurance through one of several companies, depending on the state. Colorado Farm Bureau Insurance - Insurance - Loveland, CO ... from s3-media3.fl.yelpcdn.com In 1...
Komentar
Posting Komentar